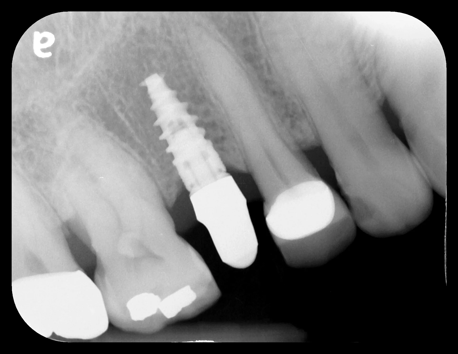
"The life of a tooth from root canal, to bone graft and implant."

Our patient presented with a crown that popped off. After a thorough exam, our team observed that this tooth had a long history of dental treatments.  A previous doctor performed a root canal, then placed a metal screw inside of the root to hold a metal crown.  Over the years, the tooth became soft from cavities and infected but the patient did not know this was happening because once a root canal is performed, the tooth has no feeling!  Then one day, the crown popped off and she came to our office.  Unfortunately we could not save the tooth and an implant was the best option.  We decided to extract the tooth and perform a bone graft since some of her bone melted away due to tooth infection.  After the bone graft healed, we placed a Nobel Biocare implant then connected her brand new BruxZir porcelain crown to a custom gold abutment!  Our patient is happy and chewing confidently again!

"3 root canals on the same tooth?! Enough is enough."

Our patient presented with a horrible tooth ache on her lower right molar.  It was hypersensitive to pressure. After a thorough exam, the tooth was fractured under the gums and couldn't be saved.  Our patient stated that this particular tooth had root canal treatment 3 separate times by 3 separate root canal specialists!  Everyone did everything they could to save the tooth, but it finally gave up and broke.  We carefully extracted the tooth and a bone graft was completed at the same time.  Immediate placement of the implant was not possible due to a horizontal defect of the bone and soft tissue.  After the bone graft healed, we placed the implant and delivered her new crown.  She is eating and living comfortably again!

"Another doomed root canal."

Our patient had a root canal that eventually failed due to root fracture.  Another tale of extraction, bone graft and implant placement.  This case took approximately 5 months to complete.

"Get this gold tooth outta here!"

Our patient presented with a gold window front tooth.  He was originally from Mississippi and he stated that this is just how teeth were fixed back then.  He wanted the gold edges removed before his wedding.  After a thorough exam, I noted that his front teeth looked rather small.  He agreed and said he always thought they were tiny.  In actuality, his teeth were normal sized, he had too much gums covering them!  We chose laser therapy to remove the excess gum and used eMax layered lithium disilicate porcelain with custom shading for his new crown.  There is more work to do on other teeth but our groom is ready for his wedding closeup!  UPDATE: Now happily married, his wife is now our patient too!

"An accidental elbow on the basketball court."

Our young 20+ year old patient came in with trauma from an accidental elbow while playing basketball. After we gave him some local anesthesia to make him comfortable, we began our exam.  His xrays and intra-oral exam revealed a fractured facial alveolar bone and clinical crown midroot.  The tooth cannot be saved. Options for a dental implant, a bridge, a removable flipper or no tooth replacement was given.  A dental implant would be the recommended treatment.  A bridge would also be an alternative treatment; however, the adjacent virgin teeth would have to be shaved and shaped aggressively to hold the fake tooth.  A flipper would be an annoyance to the patient and may change his speech - it is primarily cosmetic and non-functional.  Leaving him tooth-less is not a realistic option for a 20+ year old single male.  An implant was chosen.

Due to the facial bone alveolar fracture, an immediate implant would have a low success rate.  The dental team opted for a bone graft as Phase 1 treatment prior to implant placement in Phase 2.  When the tooth is extracted, a bone mixture is placed into the socket. It takes approximately 4 months for the bone to harder, after which an implant is placed.

The tooth was extracted, the area was debrided with copious saline. The facial plate was fractured in pieces. These pieces were crushed and mixed with allograft and tetracycline.  A slow-dissolve (16 week) resorbable membrane was placed on the facial defect and bone was grafted into the site.  An envelope technique was used for  tension-free site closure and healing by secondary intention.  The fractured tooth was shaped in the form of an ovate pontic and sealed with direct composite and highly polished.  It was then bonded with fiber mesh to the adjacent teeth.  The intaglio surface of the tooth was in slight contact with the extraction site to promote soft tissue shape and avoid interproximal bone loss.  Photos below show treatment from presentation to provisionalization.  This was all accomplished in one initial visit.  Phase 2 implant placement is scheduled.

"Skateboard to the tooth!"

It's amazing what a skateboard can do to a tooth! With new white filling materials, we can layer different colors to give a broken tooth a second chance at life!  All done in one appointment!

"A smile makeover."

A young professional female came in looking for a second-opinion for a smile makeover of her broken front teeth. She had broken teeth for many years and was requesting veneers. Another doctor gave her a very high quote for treatment for 6 veneers and wanted to start right away. Upon closer examination, I'm glad she didn't.

After a series of diagnostic xrays were taken.  A closer look in the mouth revealed a complicated periodontal combination scenario of traumatic supra-eruption and passive delayed eruption with excessive facial bone contributing to a high smile line.  To afford some resolution to her cosmetic goals, she would require cosmetic crown lengthening in the anterior zone to properly enhance the soft tissue profile and symmetry of the front teeth.  Crown lengthening in this situation removes excess bone around a tooth thereby making it longer or "lengthen" in size. A diagnostic and full cosmetic waxup of her new smile was fabricated along with an essex surgical stent to be used during the crown lengthening procedure.  The patient underwent a crown lengthening procedure and a revision with diode laser 4 months afterwards. Full contour eMax lithium disilicate crowns were fabricated. Veneers are contraindicated in this situation due to the patient's occlusion and functional movements.  If veneers were completed without crown lengthening, she would have fractured the veneers almost immediately and they would be in the wrong position making them look like dominant "rabbit" teeth or short stubby teeth depending on the ceramist's opinions on beauty.  Additionally, if only a gingivectomy was performed without crown lengthening, she would have chronic inflammation at the necks of her teeth due to violation of biological width.  Our treatment time was longer than she had first expected when she first presented for her consultation with us, but she was happy it was done correctly.  The patient was fitted for a night guard after delivery and she was completely blooming with her new smile! Due to their nature, photos of the crown lengthening surgery are not included.  A before and after smile is shown below.

"How It's Made!  Dental crowns made in about 1 hour."

Our patient broke his upper left canine tooth!  He was an older gentleman and stated that he badly needed that tooth to chew!  "I can't go without it!"  Same-Day CAD/CAM Cerec 3D crowns to the rescue! Follow the images in order below from left to right and watch how we created a metal-free all ceramic eMax crown in about 1 hour.  Our patient left with a smile on his face running ear to ear!

ROW 1: Our patient presented with a broken canine.  I added some tooth colored filling to the tooth to establish a new mock shape.

ROW 2: Preparing the tooth for our all-ceramic eMax crown.

ROW 3: Scanning the tooth with our 3D computer and designing the tooth in a virtual 3D space.

ROW 4: Choosing the base color of the crown, cutting a shaded porcelain block into the shape of a crown and checking for perfect fit.

ROW 5: Carefully staining the porcelain with the perfect color match. glazing the crown in the oven for a realistic, natural look and sealing the tooth so the crown sticks.

ROW 6: The crown permanently cemented with a final xray to ensure perfect fit.  Notice in our last xray the new crown is see through in the picture, unlike older metal crowns that look like white blobs.

 

"No more metal!"

A young female patient presented wanting "no more metal" in her mouth. Additionally, finances were an issue and she thought she had small front teeth and one tooth was bigger than the other.  After a thorough examination, the team noted she had 2 silver crowns and hyperplastic soft tissue in the anterior zone.  She also had a fractured #10 lateral incisor and mesially rotated #7.  She would undergo a Zoom! whitening procedure and after the shade stabilizes, would be fitted with 2 eMax lithium disilicate veneers on her lateral incisors and a diode laser would sculpt the gingiva to allow for a more symmetrical smile. Once her treatment was completed she was absolutely thrilled!  See pics below for before and afters.

"I just want to smile again."

A super sweet young lady walked into the dental office with a simple request.  She just wanted "to smile again."  She had not been to a dentist for years, embarrassed with her smile. She had two large fillings completed on her front teeth which were failing her.  We developed a plan that fit her needs, finances and busy schedule.  After a thorough deep cleaning with laser decontamination, Zoom! in-office whitening and two new eMax all-porcelain crowns for her front teeth...she couldn't stop smiling!  There are still some details and small bonding procedures that need to be done to complete her smile transformation, but our team helped her take a leap in the right direction! Congratulations so far!

"A novel technique for immediate implant placement."

One of our favorite patients was in need of an extraction and an implant.  He had a root canal completed a few years ago but the tooth was re-infected and broke in half.  Only the roots were left.  After we discussed all of his options, we were ready to extract the roots, perform a PRF bone allograft and place an implant all at the same time!  This would save our patient months of healing and additional surgeries.  Notice the technique in the photos for NOT removing the roots before preparing the space for the implant!  We use the roots to stabilize the jaw bone as well as using them as a guide to place the implant in the best angle, position and orientation.  The roots are removed just prior to implant placement.  This takes tremendous experience and clinical skill.  After placing the implant and removing infected gums and tissue, we used donated human bone graft material that has been treated and zapped clean and mixed this with PRF, to fill in the void spaces where the tooth roots used to be.  A PRF membrane was used over the implant to hold the bone graft in place and the area was stabilized with soft stitches.  We met for a one week followup and our patient was doing fantastic! In a few months, he will be ready for his custom metal-free Zirconia crown!

"Don't allow wisdom teeth to ruin your ability to chew."

Our patient presented with severe pain on his lower right side.  After a thorough exam, it was clear that he had an infection and 2 teeth that could not be saved.  His wisdom tooth grew in sideways and through the years, he was not able to keep the area clean therefore causing a severe gum problem.  Additionally, because the wisdom tooth grew in sideways, it made a hole in the neighboring tooth.  We placed him on antibiotics, removed two teeth and bone grafted the area with allograft and PRF.  He was very happy to have his infected teeth removed but surely did regret not coming to see us sooner.  We may have been able to save a tooth.

"Did you know a tooth can have 4 nerves? A root canal can save your tooth."

Our patient presented with pain on her lower right side. She says, "It's aching and I haven't been able to sleep.  I think it's my wisdom tooth." After a thorough exam, it turns out it wasn't her wisdom tooth at all but another tooth with a big cavity that was causing irreversible damage to the nerves of her tooth! After some testing, it was determined she would need a root canal to remove the infected nerves and a crown to protect the tooth afterwards.  This particular tooth is notoriously known for having multiple nerves inside of it and after all was said and done, this one tooth had 4 nerves.  We showed the xrays to our patient and she was very surprised.  I informed her that this was not an uncommon finding. Nature has a way of designing our bodies.  She was very relieved and had both a comfortable and educational experience.  We were able to prepare her tooth for her ceramic crown at the same appointment and we're happy to say she is doing just fine.  We utilized Dentsply ProTaper Gold Rotary Files and GuttaCore for our root canal procedure. 

"4 nerves, 1 tooth"

Our patient presented with an upper left tooth in alot of pain.  A previous doctor performed a crown on the tooth many years ago but now the tooth was giving him problems and he couldn't chew or sleep!  After a through exam and testing, a cavity had formed underneath his crown due to a gap between the crown and his tooth that formed over the years.  A root canal and a new crown was needed to save the tooth and get our patient our of pain.  After the root canal was completed, it was interesting to see that this tooth had 4 nerves and an accessory nerve from one os his roots! Around 75% of upper first molars have 4 nerves inside of them.  Our patient was a grinder and clencher, so a metal free BruxZir zirconia crown was prescribed for him.  BruxZir crowns are the strongest porcelain crowns in dentistry! Comfortable once again, our patient is ready for his next meal and some much needed sleep!  We utilized pro Taper Gold Files and Gutta Core Obturation.

"A girl and her Invisalign smile."

A young 22 year old female was looking to change her life and her smile.  She had healthy teeth but would hide her smile because of her gaps and flaring.  She would shy away from social events and it took away her confidence.  She definitely did not want any metal braces!  Young, charismatic, friendly and single, Invisalign Clear Aligners was the treatment of choice.  We designed her smile in a virtual environment and used the latest technology to simulate her tooth movement each step of the way.  We closed the gaps and gave her a wider smile.  I'm happy to say that after treatment, our patient is totally transformed by her smile!  New job, new career and new smile!

"Dentures on Implants"

One of our older patient had a loose lower denture and wanted more stability.  He was missing a significant amount of bone.  We were able to place two implants and convert his existing denture.  We are happy to report he is happy and has been chewing confidently!


"Full Mouth Surgery. NSFW. Password Protected."

Click HERE.